Crooked or misaligned teeth? Fastbraces offer a quicker, effective solution. At Alpha Dental & Implant Centre, we provide Orthodontics Fastbraces in Adelaide that straighten teeth faster, with less discomfort, giving you a confident, lasting smile.
Back to Services
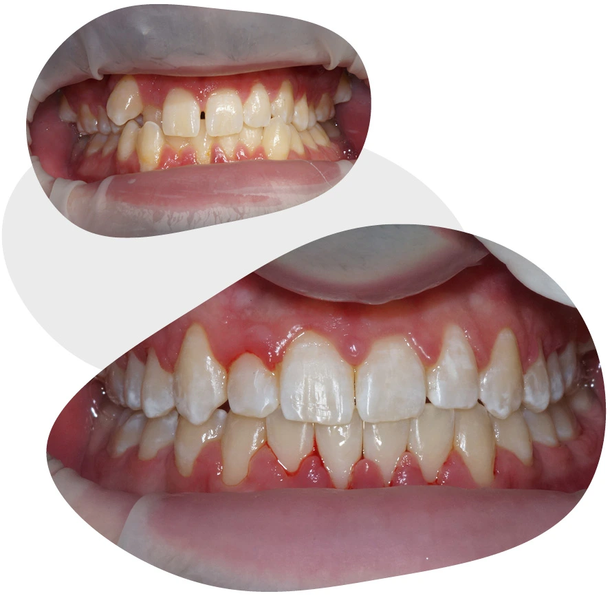
Orthodontic Care and Braces Adelaide Trust
We offer a range of orthodontic options to suit all ages and needs. Our dentists are trained in Orthodontics Fastbraces, tailoring treatment to each unique smile.

Fast & Ceramic Braces, Orthodontic Care for All in Adelaide
Ever wondered why your teeth don’t feel like they fit right, even when you’re smiling? It’s more than just looks. Misaligned teeth can affect your bite, your breathing, even your sleep. That’s why at Alpha Dental & Implant Centre, we go deeper than straightening. We realign everything that matters with Orthodontics Fastbraces and braces Adelaide residents rely on.
We look at the big picture: facial symmetry, jaw function, airways, and long-term comfort. No rushed treatments, unnecessary extractions but personalised care using the latest orthodontic technology.
Types of Braces Available in Adelaide
Fastbraces® – The Speedy Fix
Fast, safe, and efficient, Orthodontics Fastbraces can straighten teeth in as little as 3 months. Perfect for crowded teeth or that dream straight smile you’ve been putting off. If you’re considering a more permanent solution for missing teeth, visit our Dental Implants Beverley page for more information.
Minimal discomfort. Fewer appointments. Maximum results. A proven system backed by over 30 years of research. Now available right here in South Australia.
Traditional Metal Braces – Old But Gold!
Tried, tested, and trusted, traditional metal braces are the backbone of modern dental alignment.
Best for complex cases and younger patients. Sturdy and reliable, traditional metal braces are ideal for complex dental issues, from severe crowding to bite correction.
Don’t underestimate the classics.
Ceramic Braces – Clearer Confidence
Ceramic braces are realignment braces for those who don’t want the heavy metal look. They blend in with your teeth, offering a more discreet alternative.
Perfect for adults and teens who want straighter teeth without the obvious gear. All the strength of metal. Just easier on the eyes.
Clear Aligners – Straight Teeth Without the Brackets
Clear aligners (like Invisalign®) are virtually invisible and custom-made. No brackets. No wires. Just smooth trays that gently move your teeth.
You take them out to eat, brush, and live your life. Great for adults balancing work, events, and orthodontic goals. This is the most flexible type of orthodontic treatment in Adelaide.
Why People Are Choosing Fast Braces Over Traditional Braces in Adelaide
Fastbraces and traditional braces are the go-to type of dental braces today. But why do people prefer Fast Braces over the traditional?
Faster Treatment Time for Crowded Teeth and Bite Correction
Fastbraces achieve results in as little as 3 months to a year, significantly faster than the typical two-year duration of traditional braces.
Less Discomfort Than Traditional Metal Braces
Fastbraces’ triangular bracket system provides gentle, consistent pressure, minimising the soreness often experienced with traditional braces.
Faster Path to Your Dream Smile
With fewer adjustments, Fastbraces reduces the frequency of orthodontic visits, saving time and cost.
Clear Braces With Aesthetic Appeal
Smaller, less noticeable brackets, including clear fast braces ceramic options, provide a more discreet look than traditional braces.
Cost-Effective Orthodontic Solution
The shorter treatment time and reduced professional fees make Fastbraces a budget-friendly choice for effective orthodontic care.
Treat a Range of Dental Issues
Fastbraces can address multiple orthodontic concerns, from overcrowding to bite misalignments, making them suitable for various needs.
Minimal Impact on Daily Life
Fastbraces allow for fewer dietary restrictions and easier oral hygiene, leading to a smoother orthodontic experience.
Enhanced Oral Health During Treatment
The shorter treatment period and easy-to-clean design reduce plaque buildup and support healthier gums and teeth.
Proven Technology with Long-Lasting Results
Fastbraces offer reliable, long-lasting outcomes supported by decades of research.
Improved Confidence Levels
Faster, more comfortable treatment boosts confidence and self-esteem, helping patients enjoy their smile transformation.
Why Choose Alpha Dental & Implants Centre for Orthodontic Care
Our dentists always start with an initial assessment, discuss your options, and explain why many patients today prefer Orthodontics Fastbraces for faster, more comfortable treatment. This treatment has been invaluable to our patients and practice because:
- We do not extract adult teeth for orthodontic treatment
- We improve airways (Nasal breathing)
- Reduce future incidence of sleep apnoea
- Treat and avoid causing temporomandibular disorders (TMD) such as clicking, lockjaw, migraines and vertigo.
Not Sure Where to Start? Book an Initial Consultation
Whether you’re after fast results, a barely-there look, or treatment for complex bite concerns, we’ll help you find the right fit. During your initial consultation, we assess more than just your teeth. We look at your health, goals, and daily life. Then we build a custom treatment plan that fits. Call to book an appointment: +61882693311
Fun Fact:
Generally foods and drinks that are high in sugar and acid are harmful to tooth enamel. Acidic foods and drinks (soft drinks, citric juices, sports drinks) can cause tooth erosion while high sugar content is more likely to contribute to tooth decay (cavities).
Frequently Asked Questions
We have compiled a few general questions about Orthodontic Fastbraces. If you have a question, please don’t hesitate to contact our team.
What types of braces can I get at Alpha Dental & Implant Centre?
We offer a few different options, depending on what your teeth need and how visible you want them to be.
There’s the classic metal braces, which are strong and reliable. Ceramic braces do the same job, just they’re less noticeable. We also fit clear aligners like Invisalign if you’d rather skip brackets entirely. And for those who want to keep things completely hidden, lingual braces tuck in behind your teeth. Not sure what suits you best? Start with a consultation.
How does it work?
The brackets used with Fastbraces® work on a mechanical principle different from traditional braces. This revolutionary system uses an innovative triangular bracket and a specially shaped square wire to correct the tooth’s position from the beginning of treatment. This combination is key in simultaneously realigning the root and crown, significantly shortening treatment time.
When should I bring my child in for their first orthodontic check?
A good time is around age 7. That’s usually when adult teeth start coming through and we can spot if anything’s off. It doesn’t mean they’ll need braces right away—sometimes it’s just about keeping an eye on how things are developing. If something needs attention, catching it early can make treatment later simpler and shorter.
How Can You Decide if You’re a Good Candidate for Fastbraces®?
Fastbraces are an excellent option for many patients seeking to straighten their teeth. Our dentists will spend time explaining your choices and your suitability.
Call our reception to organise your orthodontic consultation on 08 826 93311
How much do dental braces in Adelaide cost?
The cost of dental braces in Adelaide depend on factors such as the type, complexity of treatment, and treatment duration. Traditional braces are costlier than fast braces and can set you back for around $5,000 to $10,000, with fast braces costing between $3,800 and $9,500. Many orthodontic practices offer payment plans and financing options to make treatment more accessible.
If you have more questions, please don’t hesitate to contact our team.



