Skip to main content

If you’re reading this, chances are you’re dealing with a cracked tooth, a big filling, or you want your smile to look better. You’re not alone. Many people put off dental care due to concerns about cost, pain, or the appearance of the final result.

Over the years, we’ve seen how much a good crown changes our patients’ lives. Dental crowns protect weakened teeth, restore grinding function, and create a natural smile you won’t hide.

But what are the different types of dental crowns, and which one is right for you? Let’s break it down.

What Are the Different Types of Dental Crowns?

First, a dental crown is a custom-made cap placed over a damaged or weakened tooth. It restores the tooth’s shape, size, and strength, while improving its appearance. In Australia, crowns are one of the most common dental restoration procedures, especially after large fillings or root canal treatments. Different crown materials serve different purposes. Here’s a breakdown of the main types used in modern dentistry and at Alpha Dental and Implants Centre:

Porcelain Crowns

A 3d illustration of a porcelain dental crown being placed over a prepared molar tooth
  • Best for front teeth
  • Natural appearance with lifelike colour
  • Blends seamlessly with surrounding teeth
  • Highly aesthetic but less durable under heavy chewing

Porcelain crowns are designed to mimic the look of your natural teeth. They are made entirely from ceramic dental materials and are chosen for their lifelike colour and translucency.

These crowns are most popular for visible front teeth, where aesthetics are the main concern.

If your main priority is cosmetic appeal, porcelain crowns give you the closest match to natural tooth colour.

Metal Crowns

  • Strongest option for back molars
  • Long-lasting, often decades
  • Made of alloys like gold or palladium
  • Less aesthetic appeal, but nearly indestructible

Metal crowns are the strongest and longest-lasting option. They are usually made from gold, nickel, palladium, or chromium alloys. Because of their metallic appearance, they’re mainly used on back molars where aesthetics matter less but chewing strength is critical. Many metal crowns can last 20 years or more with proper care.

Metal crowns often replace these heavily used chewing teeth, where strength matters most.

Porcelain-Fused-to-Metal (PFM Crowns)

  • Balance of strength and beauty
  • Porcelain coating on a metal base
  • Work for both front and back teeth
  • Porcelain layer may chip if you grind your teeth, and gum recession can reveal metal edges over time

PFM crowns combine the durability of metal with the natural look of porcelain. A metal base provides strength, while the porcelain coating gives a tooth-like appearance. They’re versatile enough for both front and back teeth, but they do carry a small risk of porcelain chipping if you grind your teeth.

Fused-to-metal PFM crowns remain one of the most commonly used dental crown materials in Australia due to their cost-effectiveness.

Zirconia Crowns

  • Suitable for any tooth, especially molars needing durability with aesthetics
  • Newer material with excellent durability
  • Same colour as natural teeth
  • Withstand high bite forces
  • Less risk of cracking compared to porcelain

Zirconia crowns are made from zirconium dioxide, a highly durable ceramic. They’ve become increasingly popular in recent years because they offer both strength and aesthetics. Studies show zirconia crowns can withstand the biting forces of posterior teeth without cracking, while still providing a natural look.

Many patients now choose zirconia because it combines the best of porcelain and metal without the drawbacks.

Resin Crowns

  • Newer material with excellent durability
  • Same colour as natural teeth
  • Withstand high bite forces
  • Less risk of cracking compared to porcelain

Resin crowns are made from composite resin and are usually used as a temporary crown before fitting a permanent one. They’re affordable and quick to produce but far less durable than porcelain or metal options.

Resin crowns are often used as a placeholder. They buy you time while your permanent crown is being fabricated.

Comparing Different Dental Crown Materials

If you’ve been told you need a crown, it’s normal to feel a bit lost with all the options. Costs vary a lot, and so do how long they last, how tough they are, and how natural they look.

Here in Australia, a single crown can cost anywhere from $1,500 to $2,500, depending on the tooth, the material, and the work involved. Some can last for decades. Others are a quick fix while you wait for the real thing.

Here’s the comparison you can actually use when making a decision:

Crown TypeBest ForAverage LifespanTypical Cost (AUD)
Porcelain CrownsFront teeth, smile makeovers5–15 years$1,600–$2,500
Metal CrownsBack molars, heavy chewing15–30+ years$1,500–$2,200
Porcelain-Fused-to-MetalFront + back teeth, mid-budget10–20 years$1,500–$2,400
Zirconia CrownsAnywhere, looks + strength10–20+ years$1,800–$2,500
Resin CrownsTemporary crowns only1–3 years$500–$900

How to Pick the Right Crown

The choice of a crown depends on what tooth we’re fixing, how you use it, and your long-term plans.

What to Think About

  • Tooth location: Back teeth take the hardest hits when you chew. They need tougher stuff like zirconia or metal.
  • Looks vs strength: For front teeth, porcelain or ceramic crowns are usually preferred because they blend in better.
  • Budget: If money’s tight, PFM crowns give you solid durability without the high price tag of zirconia.
  • Oral health needs: After a root canal treatment, you want strength first so the tooth doesn’t split later.

We’ve seen this situation before:

Someone wanted the cheapest crown. But they chewed on it every day with back molars. Two years later, it cracks, and they are back paying nearly double for fixing it.

That’s why at our dental implant in Prospect, Dr. Paul Toumazos and the team look at the whole picture (your bite, your smile goals, your budget) during the first consultation, before suggesting anything. It saves you money and headaches long-term.

Benefits of Dental Crowns

When people hear “crown,” they often think it’s just about fixing how a tooth looks. But there’s more to it. Crowns protect what’s left of the tooth, stop things getting worse, and bring back confidence when you smile or chew. Here’s what they actually do for you:

Protecting and Restoring Your Tooth

If you’ve had a damaged or decayed tooth, a dental crown wraps around it like a helmet. It holds everything together, so it doesn’t crack further. This is especially important after tooth preparation for a big filling or a root canal.

Built to Last

With check-ups every six months and good cleaning habits, permanent crowns last 10–15 years on average. Gold and metal crowns often hit 20 years or more before needing replacement.

Getting Your Smile Back

Modern crowns like zirconia and porcelain are colour-matched to your teeth. We’ve had patients who couldn’t even tell which tooth had the crown after a month. That’s how natural they look.

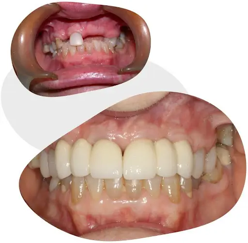
before and after results of a dental crown procedure
before and after a dental implant process at alpha dental and implant centre

Frequently Asked Questions

What are the different types of dental crowns?

The main types are porcelain, metal (like gold or palladium), porcelain-fused-to-metal (PFM), zirconia, and resin crowns. Zirconia crowns can handle bite forces up to 900–1,200 MPa, which is far stronger than porcelain’s 350–450 MPa. Each material varies in cost, looks, and durability, which is why dentists match them to tooth location and patient needs.

Which dental crown is best for front teeth?

Porcelain or all-ceramic crowns work best for visible front teeth because they mimic natural tooth colour and translucency. Australian dental labs colour-match these crowns using digital shade mapping so they blend seamlessly. They’re commonly chosen for cosmetic fixes like chipped incisors, where strength is less critical than appearance.

How long do dental crowns last?

With good oral hygiene and 6-monthly check-ups, permanent crowns typically last 10–15 years. Gold and zirconia crowns often reach 20 years or more because they resist cracking and heavy bite forces better than porcelain or resin.

Are porcelain crowns more expensive than metal crowns?

Yes. In Australia, porcelain crowns can cost about $1,600–$2,500 each, while metal crowns often range from $1,500–$2,200. Porcelain crowns cost more because they require precision colour-matching, multiple lab steps, and high-temperature firing for aesthetics and strength. Book an appointment to find out what a dental crown can cost you.

Can I get a crown if I have a severely damaged tooth?

Yes. After tooth preparation or a root canal treatment, a crown can cap the entire tooth to stop further cracking or loss. In some cases, a post-and-core build-up or a dental implant base is added first so the crown has a stable foundation to sit on.

Take the Next Step Today

Your smile deserves the right crown, not the quickest fix.

If you’re thinking about getting a dental crown, the first step is identifying the right type of dental crown for you during a personal consultation. At Alpha Dental & Implant Centre, we’ll check your smile, discuss different dental crown materials, and guide you to the right choice.

Whether it’s zirconia crowns for durability or porcelain crowns for beauty, our team in Prospect will match you with the best fit.

For appointments, please call us on (08) 8269 3311. For enquiries, send us a message online.